Ortodoncia en Alicante
Adultos y Niños
Brackets Invisibles INVISALIGN · Brackets metálicos · Brackets estéticos · Linguales · Brackets transparentes
En clínica dental María Jiménez estamos especializados en Ortodoncias, de la mano de nuestra doctor Doctor Alberto Pomares con una gran experiencia y formación en el campo de la ortodoncia y experto en ortodoncias trasparentes Invisalign entre otros tratamientos y técnicas.
Ortodoncias en Alicante · Clínica dental María Jiménez
En clínica dental María Jiménez somos especialistas en ortodoncias, siendo la especialidad que se encarga del correcto posicionamiento de los dientes en la boca, para una óptima función masticatoria, fonética y estética, evitando muchos problemas debidos al apiñamiento y mal posición de los dientes.
Hoy en día, no solo no son solo los pacientes jóvenes los que se realizan tratamientos de ortodoncia, sino que cada vez son más los pacientes adultos que se realizan estos tratamientos.
Tener los dientes alineados y una buena oclusión generan un buen estado de salud bucal y evita problemas en el futuro además de una estética y una sonrisa más atractiva. Las mal oclusiones afectan el estado de la boca, pero además causan otros problemas dentales como desgastes en los dientes, problemas de encías, fracturas, y dificultad muchas veces para poder llevar una buena higiene dental.
En nuestra clínica dental en Alicante, nuestros pacientes son adolescentes y niños y no solo miramos los problemas asociados al mal posicionamiento de los dientes, sino otros problemas logopédicos o respiratorios que influyen en el desarrollo de los tratamientos ortodóncicos.
En los pacientes adultos a veces es necesario el tratamiento de ortodoncia previo a un tratamiento de estética, implantes o prótesis, por lo que estudiamos cada caso de forma individual y damos la mejor opción para la salud dental de nuestros pacientes.
Los tratamientos de ortodoncia no producen dolor salvo a veces algunas pequeñas molestias de adaptación los primeros días o alguna pequeña llaga que se cura en unos días.
Ver tipos de ortodoncías:
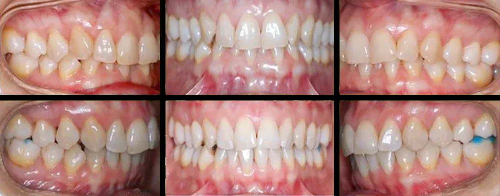
Hoy en día la mayoría de los pacientes buscan una solución rápida e invisible para poder poner sus dientes en posición correcta y lucir una sonrisa más estética y tener una mayor salud dental. Somos expertos en la TÉCNICA INVISALIGN (Ortodoncias trasparentes e invisibles).

Brackets transparentes INVISALIGN
Esta técnica sustituye a los brackets de toda la vida por unos alineadores transparentes de plástico fabricados a medida y cada uno de ellos ligeramente distinto al siguiente y a medida que se van utilizando, realizan unos micromovimientos en los dientes para su correcta posición.
Estos alineadores son de quita y pon para comer y poderse lavar los dientes, pero el resto de las 24 horas del día deben de estar puestos en boca, es decir, se llevan un promedio de 22 h al día. Van realizando unos pequeños movimientos y cada 7-10 días se van cambiando por unos nuevos que van dando los doctores, así padres y ortodoncista pueden controlar el tiempo de colocación para los casos de ortodoncias en niños.
Es importante que lo realice y supervise un ortodoncista especialista en invisalign como le ofrecemos en nuestra Clínica Odontológica, que le explicará todo en una primera visita sin coste alguno por parte del paciente.
Actualmente se consiguen los mismos resultados que con los brackets, incluso a veces se obtienen mejores resultados en menor tiempo. En algunos casos incluso se pueden combinar los dos tipos de tratamientos.

BENEFICIOS DEL TRATAMIENTO INVISALIGN
Se puede realizar tanto en adultos, adolescentes, como en dentición mixta (entre los 10 12 años).
Es muy cómodo porque permite realizar deportes de contacto, poder tocar instrumentos musicales y además para los adolescentes mejoran muchas veces su autoestima y están de moda.
Es un tratamiento que reduce las citas de urgencia que algunas veces producen los brackets porque se descementan, y también requiere de menor número de citas de revisiones pues muchas veces se hacen cada 6/8 semanas.
La ortodoncia es invisible prácticamente: Estos casi no se ven, luego son mucho más estéticos.
Menos doloroso: porque se realizan pequeños movimientos de manera paulatina.
Fáciles de quitar: al ser removibles el paciente puede quitarlos tanto para comer, limpiarse y en ciertas ocasiones especiales, cosa que no puede realizarse con otros tratamientos de ortodoncia. Pero sin olvidar que se debe de llevar al menos unas 22 h al día.
Se puede comer de todo tanto alimentos duros, blandos como pegajosos, ya que al podérselos quitar el paciente no puede romperse nada, ni despegarse como ocurre en algunas ocasiones con los brackets.
No producen llagas es muy poco probable ya que no rozan en las encías.
No todos los pacientes pueden utilizar el tratamiento invisible invisalign, es nuestro ortodoncista experto el que debe evaluar y decidir que aparatos son aptos para cada paciente. Es el especialista el que realiza el diagnóstico y la planificación de cada caso para posteriormente enviarlo a EEUU desde donde nos envían los alineadores.
Con un software Clincheck de invisalign simulamos en 3D como quedaran los dientes antes de comenzar cualquier tratamiento y se lo mostramos al paciente, es como una simulación virtual.
FASES del tratamiento ortodoncia invisible INVISALIGN
Estudio:
Donde realizamos una primera visita, una historia clínica, tomamos una serie de fotos extra e intraorales y realizamos unas radiografías para poder con toda esta información estudiar cada caso individualizado por todo nuestro equipo de profesionales.
Presupuesto:
Le entregaremos un presupuesto cerrado que le incluirá:
- Todos los aparatos que necesite durante el tratamiento.
- Un kit con cepillo y otros utensilios especiales para su tratamiento.
- Todas las revisiones durante el periodo de la ortodoncia supervisado por nuestro especialista.
- Los aparatos de retención superior e inferior que se colocan al finalizar el tratamiento.
- Las revisiones durante todo el año siguiente al acabar el tratamiento de ortodoncia.
Por último, se le explicarán las diferentes formas de poder pagar o financiar el tratamiento según mejor le convenga sin ningún compromiso.
En clínica dental María Jiménez diseñamos un plan de tratamiento personalizado para cada paciente teniendo un trato directo con nuestro ortodoncista, pudiéndole preguntar y hablar sobre su tratamiento antes y durante su tratamiento.
Cierre del plan de tratamiento:
Se realiza una nueva visita con el ortodoncista que le explicará las diferentes alternativas para su tratamiento y si hubiese que realizar algún tratamiento dental previo.
Se le hará una ficha específica para el ortodoncista sobre un cuestionario de salud y de la boca.
Tomaremos unos modelos de su boca para poder realizar un diagnóstico preciso.
Con toda la información se cerrará su tratamiento proporcionándole toda la información individualmente, duración del mismo (suele variar entre 12 y 24 meses normalmente) y una cita para comenzar.

Colocación y revisiones:
Son fundamentales para el control continuado, se realizan normalmente una vez al mes, pero en algún caso puede variar y a veces en tratamiento con el invisalign las visitas pueden espaciarse un poco más en el tiempo.
Es muy importante la higiene bucal durante todas las visitas y duración del tratamiento para evitar posibles problemas de gingivitis y sangrado de las encías, manchas y descalcificaciones.
Por ello enseñaremos las técnicas de cepillado para mantener una buena higiene a cada uno de nuestros pacientes.
Utilizamos la ortodoncia visible de 3M, líder en el mercado de brackets ya que son materiales de la más alta gama en tecnología.
No requiere ningún tipo de baja laboral y no presenta contraindicaciones absolutas, solo si el paciente presenta alguna enfermedad periodontal o articular que una vez tratadas y controladas se puede realizar el tratamiento.
Final y Retención:
Nuestro ortodoncista supervisa que todo está correcto antes de retirar el aparato y si es así procede a su retirada.
Tomamos unos modelos para que el laboratorio nos haga los retenedores finales, además de colocar una retención fija normalmente, esto es muy importante para mantener todos los dientes sin desplazamientos ya que los dientes se mueven a lo largo de toda la vida.
Con los tratamientos de ortodoncia conseguimos muchos beneficios a nivel de higiene, estética, salud dental y evitamos futuros problemas funcionales, mejoramos muchas veces la autoestima de los adolescentes y la salud bucal en general.
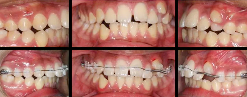
Brackets metálicos
Brackets metálicos: se pegan al diente y van conectados entre si por un alambre que es el que ejerce los movimientos sobre el diente.

Brackets estéticos de porcelana
Brackets estéticos (de porcelana): realizan el mismo efecto que los metálicos, pero son casi imperceptibles por los demás, también son muy resistentes y producen un efecto mimético con el color del diente.

Linguales (Ortodoncia lingual de incógnito de 3M)
Linguales (Ortodoncia lingual de incógnito de 3M): se colocan por la parte lingual de los dientes, de modo que resultan totalmente invisibles, cada bracket se fabrica a medida para cada diente del paciente y para cada paciente. Es un poco más largo el tratamiento de lo habitual porque la aparatología está en la parte interior de la boca y puede causar algunas molestias en la lengua los primeros días, pero le daremos cera para evitar al máximo las llagas en la lengua.

Es nuestro ortodoncista certificado el que determinará si es el mejor tratamiento tras su estudio con radiografías, modelos y fotos y le presentara al paciente una simulación en 3D.
El paciente debe tener una higiene muy rigurosa y evitar comer alimentos muy duros y pegajosos que pudieran descementar los brackets. Es más costoso ya que el material es individualizado para cada paciente, además son de una aleación de oro y las visitas con el ortodoncista son más largas de unos 45 minutos.










